The Need For X-rays

Once a year at your regular dental visit you hear the words, “you are due to update x-rays today”. Let’s be real, no one enjoys having x-rays done, but they are greatly needed. Why do we recommend having x-rays done once a year? Can x-rays be harmful to you and what are dental professionals looking for in x-rays?

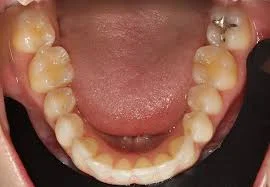
When looking in the mouth dental professionals look for multiple things, such as, tissue health, bone levels, oral cancer, and cavities. Although dental professionals can see most things in the mouth and on the teeth, unfortunately we cannot see everything. With teeth being so close together it is impossible for any dental professional to be able to properly diagnose cavities. The earlier we can diagnose a cavity, the simpler the solution. In the picture below you can see just how tight the teeth are together, making it difficult to see in between the teeth. When we take a bitewing or cavity detecting x-ray, we have a much better look in between the teeth. These x-rays are also beneficial in showing bone levels in the mouth, which contributes to a healthy mouth.

An open mouth with teeth in the lower jaw is shown.
An x-ray of teeth is shown.

The reason we take these x-rays is to help detect disease in the mouth, and cavities. Cavities are full of bacteria, and as you eat and drink all day you spread this bacteria to the rest of your body, which can lead to many other health concerns. Another disease we find is in the form of bone loss. Again our x-rays show us the bone levels, and help us to detect if something needs to be addressed.

A chart/graph that depicts with correlating pictures the radiation impact of receiving dental x-rays in comparison to the amount received from eating a banana, everyday sunlight radiation, a flight from Los Angeles to New York City, 1 year living in…

In the last several years, there has been controversial talk about x-rays and if they are harmful to your health. Luckily with technology always improving radiology specialists have made x-rays safer than ever. As dental professionals we use the lowest radiation achievable. When compared on the chart on the left you can see that dental x-rays in fact contribute a fraction of the radiation that we get from normal day to day things. A low dose of radiation has not been shown to cause any harm to humans. There are many different things that give you more radiation than x-rays do. For example, spending three days in Atlanta, one year of watching TV, and food all cause more radiation than dental x-rays.


Here at Alexandria Smiles we treat our patients the same way we would treat our own family. We would hate to think that our family members would receive anything less than exceptional care. The only way to ensure that we are giving you that exceptional care and are diagnosing everything we need is by taking x-rays once a year.

 

Why Dental Assistants Are Important
Since the late 1800s, dental assistants have been a vital part of the dentist office. Here’s why they deserve our recognition and a big ‘thank you’!

The Process of Childhood Tooth Loss
Do you know when you should call the dentist instead of the tooth fairy? What to expect when your child starts developing and losing teeth.

Tooth Sensitivity and You
Are you one of the millions suffering from tooth sensitivity? Learn how you can reduce pain caused by this common problem.


 

Resources

1.      United States Nuclear Regulatory Commission. Retrieved from https://www.nrc.gov/about-nrc/radiation/health-effects/measuring-radiation.html.

2.      Senthilkumar, G., Raghu, Y., Sivakumr, S., Chandrasekaran, A., Prem Anand, D., Ravisankar, R. Natural radioactivity measurement and evaluation of radiological hazards in some commercial flooring materials used in Thiruvannamali, Tamilnadu, India. Journal of Radiation Research and Applied Sciences 7(1) Jan 2014; 116-122. Retrieved from https://www.sciencedirect.com/science/article/pii/S1687850714000041.

3.      United States Nuclear Regulatory Commission retrieved from https://www.nrc.gov/about-nrc/radiation/around-us/doses-daily-lives.html.

4.      Oak Ridge Associated Universities, retrieved fromhttps://www.orau.org/PTP/collection/consumer%20products/catlitter.htm.

5.      United States Nuclear Regulatory Commission, retrieved fromhttps://www.nrc.gov/about-nrc/radiation/around-us/sources/nat-bg-sources.html.

6.      World Nuclear Association retrieved fromhttp://www.world-nuclear.org/uploadedFiles/org/Features/Radiation/4_Background_Radiation%281%29.pdf.

7.      Centers for Disease Control and Prevention, retrieved from https://www.cdc.gov/nceh/radiation/nonionizing_radiation.html